Pie en balancín: Causas, síntomas y tratamiento del astrágalo vertical congénito
10 Oct 2024El pie en balancín o astrágalo vertical congénito aislado (AVC) es una condición congénita que altera significativamente la forma y la función del pie, afectando la manera en que los niños caminan y se desarrollan. Este problema suele presentarse desde el nacimiento y debe tratarse a tiempo. Puede provocar molestias y limitaciones en la movilidad a lo largo de la vida.
¿Qué es el pie en balancín?
El astrágalo vertical congénito aislado (AVC) o pie en balancín es una deformidad del pie poco frecuente reconocible al nacimiento por una luxación de la articulación talonavicular, que resulta en una orientación casi vertical del astrágalo característica en la radiografía. Esta afección hace que el hueso astrágalo se desplace, provocando una posición anormal del pie que resulta en un pie plano rígido.
Es un tipo de pie plano rígido infantil conocido también como “pie en balancín”. Su frecuencia es relativamente baja y se caracteriza por producirse una luxación dorsal irreductible del escafoides sobre el astrágalo, debido a la posición vertical de este último.

Se suele presentar desde el nacimiento y según datos epidemiológicos puede aparecer en un 50% de forma aislada y otro 50% asociada a otras alteraciones. En un 50% de los afectados suele producirse en ambos pies.
El astrágalo es el segundo hueso más grande del pie y se sitúa justo encima del calcáneo. Este hueso del pie encaja con la tibia y peroné para formar la articulación del tobillo, que nos permite plantarflexionar (bajar la punta del pie) o dorsiflexionar (llevar la punta del pie hacia arriba).
Causas del pie en balancín en niños
Las causas del pie en balancín suelen estar vinculadas a factores genéticos. Se considera una malformación intrauterina que ocurre durante el desarrollo fetal. También pueden influir ciertas condiciones neuromusculares que afectan el desarrollo normal del pie y la alineación de los huesos. Existen diferentes clasificaciones, según su etiología Ogata y cols. Establecen una clasificación de 3 tipos:
- Idiopático.
- Genético.
- Neuromuscular.
Teorías refieren que la causa de desarrollo de un pie en balancín o AVC (astrágalo vertical congénito) se puede deber a una alteración en el desarrollo evolutivo del pie entre las semanas 7 y 12 de gestación. Así como un aumento de presión intrauterina en dicha zona que provoca un aumento de contracción tendinosa.
Síntomas
Un paciente con pie en balancín o AVC que acude a consulta suele presentar las siguientes características:
- Contractura de las estructuras y tejidos dorsales del mediopié (acortamiento tendones Tibial Anterior y Extensor común de los dedos).
- Limitación del movimiento del tobillo a la flexión dorsal pasiva (acortamiento complejo gastrocnemio).
- Prominencia de la cabeza del astrágalo.
- Buena flexión dorsal del mediopié y limitación a la flexión plantar del retropié.
- Convexidad en planta del pie.
- Alteraciones del músculo Tibial Posterior y ligamento de Spring.

Diagnóstico del pie en balancín: claves para una evaluación precisa
Realizar una buena exploración y pruebas exhaustivas así como test biomecánicos específicos es esencial para establecer un correcto diagnóstico. En ocasiones la realización de radiografías es importante para la confirmación de AVC.
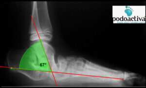
A nivel radiológico se pueden obtener medidas alteradas de diversos ángulos en proyecciones dorsoplantar y sagital. Prestaremos especial atención al ángulo radiográfico sagital TAMBA:
– El ángulo del eje del astrágalo con la base del primer metatarsiano (TAMBA):
– Entre 30º y 60º lo consideraremos astrágalo oblicuo.

– Valores por encima de 60º los consideraremos astrágalo vertical.

Lo más importante es el diagnostico precoz para intentar en medida de lo posible instaurar el tratamiento físico/rehabilitador lo antes posible y mejorar el pronóstico sin cirugía.
Tratamientos: opciones conservadoras y quirúrgicas
En función de la exploración biomecánica se establece el tratamiento adecuado. Los podólogos generalmente nos encontramos con estos pies en la 2º fase del tratamiento, cuando ya se han realizado otras terapias en el nacimiento por parte de Neonatología y Traumatología Infantil.
En recién nacidos el tratamiento inicial puede ser quirúrgico o físico/rehabilitador. Si es quirúrgico, se valoran las estructuras musculares y osteoraticulares que se deben intervenir para mejorar la posición del astrágalo y la anatomía del pie.

En el caso de tratamiento físico/rehabilitador se realizan manipulaciones/movilizaciones y los yesos seriados, colocando el pie en inversión, aplicando contrapresión a la cara interna del astrágalo. Se busca la elongación y el estiramiento de la articulación astrágalo-escafoidea con el fin de facilitar su reducción y evitar la compresión del escafoides desplazado dorsalmente sobre el astrágalo. Se coloca un yeso desde los dedos del pie hasta la rodilla, flexionada a 90°. El yeso se debe cambiar cada 7-10 días aumentando el grado de corrección.
A partir de los 3 años de edad, en función del grado de deformidad residual, se decide la aplicación del tratamiento mediante plantillas personalizadas.
Lo más habitual es que este tipo de pies con presenten algo de aplanamiento de la bóveda plantar y precisen de tratamiento ortopodológico. Suelen quedar astrágalos algo verticalizados que se pueden incluir en el grupo de los astrágalos oblicuos. Los tratamientos mediantes plantillas básicamente suelen consistir en controles mediales intrínsecos (por el talón interno de la plantilla), con extensiones de aletas internas para sujetar bien la articulación astrágalo-escafoidea y con arcos plantares que generen cierta geometría (siempre que sea tolerable).
Antonio Gómez Bernal
Director de Investigación Clínica de Podoactiva
Podólogo experto en biomecánica








